
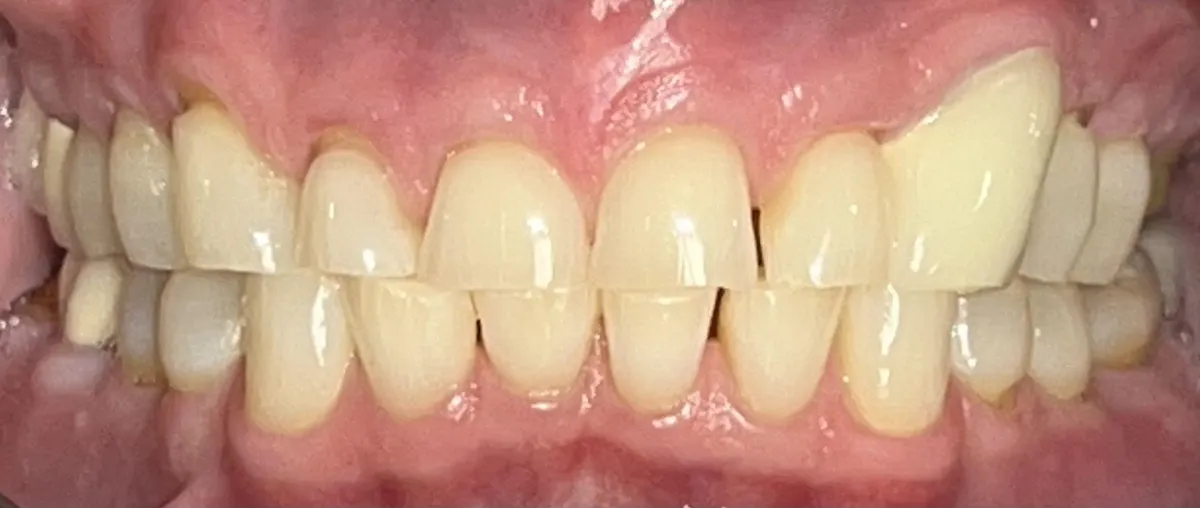
BEFORE

AFTER

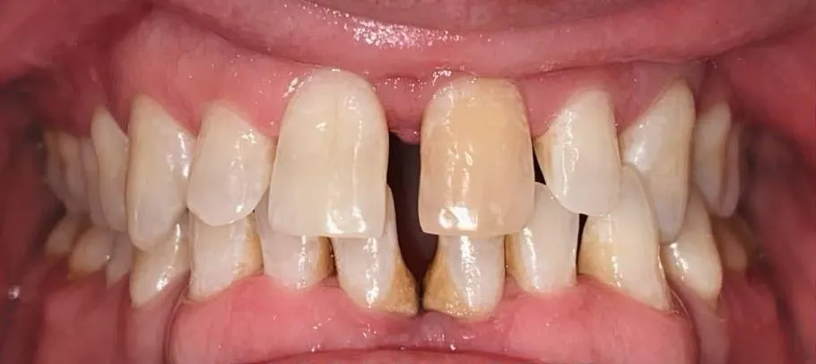
BEFORE

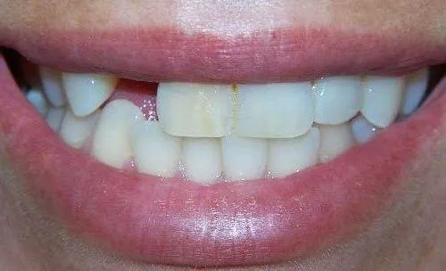
AFTER

BEFORE

AFTER

BEFORE

AFTER

Regular cleanings and exams are essential to maintaining good oral health. Our team will work with you to develop a personalized plan for keeping your teeth and gums healthy.
If you have a cavity, our dentists will remove the decayed portion of the tooth and fill it with a material that will restore its shape, function, and appearance.
With crowns and bridges, we can restore function and appearance to missing or damaged teeth. Crowns work like caps to restore shape, size, and strength to damaged teeth. Bridges replace one or more missing teeth by attaching to natural teeth or implants on either side.
In some cases, a tooth may need to be removed. Our doctors will make sure that you are comfortable and informed throughout the extraction process.
We offer full mouth rehabilitation, a comprehensive treatment plan that addresses all aspects of a patient's oral health and leaves them with healthy smiles. Our team of experts will develop a treatment plan tailored to your needs and goals.
Missing teeth can be frustrating, impacting your ability to speak, eat, and smile with confidence. At Dental Arts, we offer full and partial dentures, custom-made to fit your mouth, and designed to look and function like natural teeth.
A root canal is a treatment used to save a tooth that has been infected or is in danger of becoming infected. The procedure involves.
Removing the infected or damaged pulp
Cleaning the inside of the tooth
Filling it with a medicated material
• Removing the infected or damaged pulp
• Cleaning the inside of the tooth
• Filling it with a medicated material
Our team provides kid-friendly dentistry services, designed to make dental care fun and gentle for children. From cleanings and exams to fluoride treatments and sealants, we'll help your child maintain optimal oral health.
At Dental Arts, we offer a wide range of cosmetic dentistry services to give our patients the smile they've always wanted. From teeth whitening to veneers and more, we can help you achieve a beautiful and natural-looking smile.
TOP REASONS TO CHOOSE
Dr. Michaelsen
And His Team For Your
Implant Needs
Credentialed and Highly Experienced
Use of Cone Beam and 3D Scans for Best Possible Treatment Plan
Accessibility to Surgeon and Doctor Anytime After Surgery
Surgical and Restorative Phase Complete in the Same Office
High Quality Comprehensive Care

Immediately after receiving his Doctor of Dental Surgery degree, Dr. Michaelsen began his private practice in Catoosa where he plans to enjoy a long career serving and caring for the dental needs of Catoosa and the surrounding communities.

I was able to get in same day which was great for my schedule. Everyone was so nice. Tiffany and Maria were both so nice and quick. Dr. Wilson is the best, I’m not a big fan of the dentist in general but he helped me feel comfortable.
My first visit to Dental Arts was fantastic. The new patient process was easy. Maria, the dental assistant, was super nice and efficient at getting initial x-rays done. Dr. Wilson made me feel very comfortable and he explained treatment options clearly and in an easy to understand way . Tiffany, the hygienist who did my cleaning, was so gentle that I could have dozed off. Everyone in this office was just so pleasant. With my prior dentist retiring, this is absolutely my new dentist!

I had a great visit with Dr. Wilson and his friendly staff at Dental Arts. I have a bit of dental anxiety, so their welcoming atmosphere helped me feel very calm and relaxed. Dr. Wilson is fantastic! He is very knowledgeable and was able to treat my dental needs in a very kind, compassionate and professional manner. Anicia is a great dental assistant and even offered me a blanket if I was cold. Tiffany, the dental hygienist, was awesome and gave me some helpful tips with my oral hygine. I have a strong gag reflex and was so impressed that Maria, the dental assistant, was so quick with my X-rays; I didn't even gag! Maren, Dalia and Melanie welcomed me when I arrived and helped me to get checked in quickly! I'm so happy to finally find a dentist I love! I would definitely recommend him.
Amazing, so happy to know that my family was getting the experience they deserve. Normally, I have to go with my family to translate but at Dental Arts of South Tulsa is truly blessed to have the staff and the doctor that speaks Spanish. ❤️

I had a very pleasant experience when I first came in for my routine exam Tiffany and her Assistant Maria were truly wonderful at getting my teeth cleaned and X-rays. I also got to meet Esme she is a wonderful dental assistant who always jump in to help she was very accommodating I would definitely recommend this office!

Such a good experience and service, very friendly and professional staff that know how to keep you calm even when it’s your first time at the dentist in a while. Dr.Wilson, Anicia and Tiffany were amazing and made the process one that was even enjoyable.


Experienced and
Caring Team
Our team of dentists and staff is led by Dr. Soren Michaelsen, who has a deep commitment to providing the highest quality of care to his patients. We pride ourselves on our experience and our ability to provide personalized, compassionate care to each of our patients.
Advanced Technology
and Equipment
We use the latest technology and equipment to provide our patients with the most effective treatment options. This includes digital x-rays, which use less radiation than traditional x-rays, and a variety of other tools that help us provide more accurate and efficient care.
Affordable Options
For patients without insurance, we offer our Dental Arts Family Plan, with an annual fee of $299 per individual. We also offer a special $99 deal on preventative care for new patients.
General dentistry focuses on maintaining your overall oral health. This includes routine cleanings, exams, fillings, gum care, and preventive treatments to keep your smile healthy.
We recommend visiting every 6 months for a cleaning and check-up. Some patients may need more frequent visits depending on their oral health.
Cleanings are generally not painful. Our team works gently and carefully. If your gums are sensitive, we can offer numbing gel or comfort options to make the experience more relaxing.
A persistent toothache is a sign that something needs attention. Call our office as soon as possible so we can diagnose the cause and provide relief..
Yes, we welcome new patients from Catoosa and surrounding areas. We look forward to helping you achieve a healthy and confident smile.
We work with most major dental insurance plans. Our team will help verify coverage and explain your benefits clearly before treatment.
No problem. We offer affordable payment options and can discuss flexible plans to fit your budget.
Good brushing and flossing habits, regular cleanings, and reducing sugary snacks can help prevent cavities. We also offer fluoride treatments and dental sealants for added protection.
We recommend children begin dental visits around age 1 or when the first tooth appears. Early care helps build strong, healthy habits.
We check your teeth, gums, and oral tissues, take any needed X-rays, and thoroughly clean and polish your teeth. Our goal is to keep your smile bright, fresh, and healthy.
We understand how important it is to be able to restore your dental health and your confidence with a long-term solution. That’s why we offer third-party financing options and work with you on payment plans to fit your budget.
Single Implant Replaced
for as little as
$97/mo*
Implant Retained Dentures
for
$247/mo*
Full Fixed Arch
as low as
$347/mo*
*Subject to Credit Approval
At your consultation, we can review all the options available to you.
There are many reasons why Dental Implants are a great option for patients who are missing teeth, and our team is here to help. We are experts in All-on-4 Dental Implants, which is a prosthesis that is supported by four surgically placed Dental Implants. This is an excellent alternative to single implants, because it gives you a full set of teeth without the need for a separate implant for each tooth. All on four implants are also a quick option because they can typically be placed the same day that your decayed teeth are extracted, minimizing your recovery time. Talk to our cosmetic dentists to see if you are a candidate for All on Four Dental Implants!
Looking for a Dentist in
South Tulsa, OK?
At Dental Arts, we have put in a great deal of thought and effort into creating an enjoyable patient experience.
Our staff will make sure that you have everything you need for a very pleasant visit.